肉芽组织
的有关信息介绍如下:
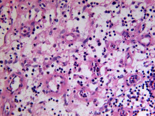
肉芽组织(granulation tissue)是指由新生薄壁的毛细血管以及增生的成纤维细胞构成,并伴有炎性细胞浸润,肉眼表现为鲜红色,颗粒状,柔软湿润,形似鲜嫩的肉芽故而得名。为幼稚阶段的纤维结缔组织。
想要了解更多“肉芽组织”的信息,请点击:肉芽组织百科

肉芽组织(granulation tissue)是指由新生薄壁的毛细血管以及增生的成纤维细胞构成,并伴有炎性细胞浸润,肉眼表现为鲜红色,颗粒状,柔软湿润,形似鲜嫩的肉芽故而得名。为幼稚阶段的纤维结缔组织。
想要了解更多“肉芽组织”的信息,请点击:肉芽组织百科