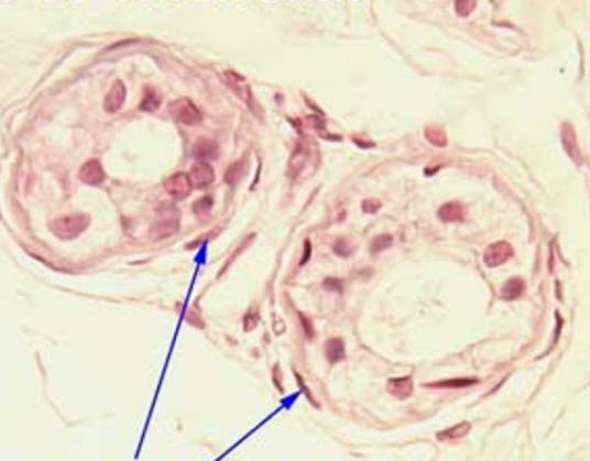
您的位置首页百科知识 肌上皮细胞 Simone 发布于 2025-09-14 16:32:33 814 阅读 肌上皮细胞的有关信息介绍如下:肌上皮细胞(Myoepithelium,Myoepithelial Cell)位于腺泡和小导管的腺上皮与基膜之间。通常每个腺泡有一个肌上皮细胞。也可以有二三个 。想要了解更多“肌上皮细胞”的信息,请点击:肌上皮细胞百科